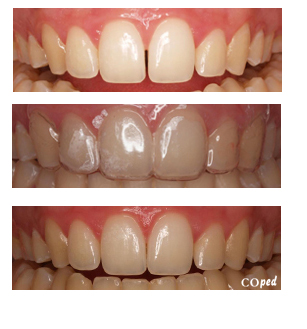
PEQUEÑO DIASTEMA SUPERIOR
Casi siempre que aparecen estos pequeños espacios se han creado por empujar esos dientes bien con las uñas (al morderlas), o mordisqueando bolis, y simultáneamente no ponerse el retenedor superior por las noches.
¿Qué hacer?
Debes ponerte el retenedor todo el día y concertar una cita con nosotros lo antes posible. Pero lo más importante es dejar de “empujar los dientes”: NO MORDERTE LAS UÑAS NI LOS BOLIS!!!
Como siempre que vengas a las visitas de retención debes traer la caja con los modelos de acabado.
¿Cómo lo resolveremos?
Lo volveremos a cerrar llevando un nuevo “essix” o bien una “placa” durante tres semanas todo el día y luego por la noche. Si se pudo poner un retenedor lingual, deberemos retirarlo y volverlo a poner cuando se vuelvan a juntar los dientes.
Es muy raro que no sea suficiente y tengamos que volver a colocar “brackets”, pero recuerda que si vuelves a empujar los dientes se volverán a mover.
Llámanos al 971713499 o si lo prefieres te llamamos
